Галитоз - довольно распространенное состояние, которое время от времени наблюдается почти у каждого человека. Некоторые страдают этим недугом в хронической форме, и зачастую эта небольшая на первый взгляд проблема доставляет человеку массу неприятностей, служит источником неуверенности в себе и неудач в личной жизни и карьере.
Человек привыкает к своим собственным запахам, поэтому, как правило, сам он их не чувствует, а узнает о проблеме только от окружающих, находящихся с ним в тесном контакте. Иногда, напротив, человеку может казаться, что у него дурно пахнет изо рта, когда он чувствует неприятный привкус, например при изжоге (кислый привкус желудочного сока в задней части ротовой полости).
Как и в случае других, «незначительных» проблем со здоровьем, большинство страдающих галитозом пытаются справиться с этим самостоятельно, некоторые обращаются за помощью к другу или родственнику и совсем небольшая часть отправляются к врачу. По этой причине врачи общей практики встречаются лишь с небольшим процентом страдающих галитозом. Всего же, по оценкам медиков, до 20% населения в популяции периодически имеют дурной запах изо рта.
Причины галитоза
Причин дурного запаха изо рта много. К распространенным факторам относятся следующие.
Проблемы с зубами
Очень часто галитоз возникает из-за неправильного ухода за полостью рта. Несвежее дыхание обусловлено присутствием в выдыхаемом воздухе соединений серы, которые имеют характерный запах тухлых яиц и производятся анаэробными бактериями, живущими в ротовой полости. Анаэробные бактерии размножаются в местах, где мало кислорода, в частности под языком, в составе зубного налета и в межзубных промежутках. Частички пищи, скапливаясь между зубами, служат благодатной средой для размножения бактерий. Инфекции десен и зубов вызывают боль, кровоточивость, а также неприятный запах.
У курильщиков дурной запах изо рта является следствием накопления компонентов смолы на поверхности зубов и слизистой оболочки ротовой полости. Это способствует ее высыханию и уменьшению количества слюны, которая необходима для поддержания защитного уровня pH.
Патология лор-органов
Маленькие дети часто любят засовывать различные предметы в нос. Если это осталось незамеченным, небольшое инородное тело может стать питательной средой для размножения анаэробных бактерий, которое сопровождается появлением неприятно пахнущих выделений из носа. Почувствовав этот запах, исходящий в том числе и от рук ребенка, которыми он вытирает нос, родители бьют тревогу. После удаления инородного тела проблема исчезает.
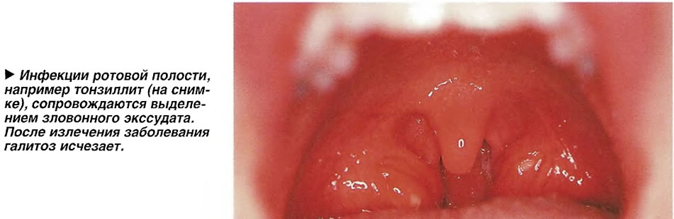
Острый тонзиллит и фарингит, вызывающие сильные боли в горле, сопровождаются также выделением зловонного экссудата, который стекает по задней стенке глотки. После излечения болезни дурной запах изо рта исчезает.
Фактор питания
Капуста, лук, чеснок и некоторые другие продукты питания, имеющие ярко выраженный аромат, обладают способностью вызывать интенсивный неприятный запах изо рта. Несвежее дыхание, однако, в таком случае - временное явление.
Заболевания, связанные с галитозом
В некоторых случаях галитоз является проявлением какого-либо основного заболевания.
К таким состояниям относятся:
- Болезнь Шегрена. Заболевание характеризуется недостаточной продукцией слюны. Может вести к появлению неприятного запаха изо рта, так как слюна поддерживает нормальный для ротовой полости уровень pH и предотвращает инфицирование.
- Сахарный диабет. При дефиците инсулина в организме человека глюкоза не проникает в клетки. В результате происходит повышение ее уровня в крови, что «переключает» метаболизм углеводов (сахаров) на синтез жиров. Промежуточные продукты обмена (органические вещества - кетоны) обеспечивают сладковато-кислый запах выдыхаемого воздуха.
- Голодание/Пропуск приема пищи. Низкий уровень глюкозы в крови приводит к активации использования жиров в качестве источника энергии, что также сопровождается накоплением кетоновых тел.
- Абсцесс легкого. Тяжелые инфекционные болезни легких могут быть причиной галитоза.
- Хроническая почечная недостаточность. Вызывает у больного характерный аммиачный запах изо рта.
- Рак пищевода или желудка.
- Печеночная недостаточность.
- Синдром постназального затекания. Возникает вследствие стекания выделений из носа по стенкам носоглотки и в ротовую полость. Воспалительный экссудат служит идеальным местом размножения бактерий, вызывающих дурной запах изо рта. Местное назначение стероидных препаратов позволяет уменьшить выделение носовой слизи.
Лечение галитоза
Прежде всего, необходимо выяснить причину неприятного запаха изо рта и устранить ее. Для оценки свежести дыхания можно использовать особый прибор - галиметр, который анализирует состав выдыхаемого воздуха и определяет наличие в нем соединений серы - наиболее частую причину дурного запаха.
В большинстве случаев галитоз связан с неправильным уходом за полостью рта, в результате чего происходит интенсивное размножение бактерий в остатках пищи между зубами. Следует регулярно и надлежащим образом чистить зубы с удалением налета и частичек пищи. Не менее важно тщательно очищать язык во избежание образования налета, особенно в области корня языка, где скапливается наибольшее количество бактерий.
Значение слюны
Галитоз обычно сильнее выражен утром, так как ночью во время сна слюны выделяется мало. Слюна - это основная защита ротовой полости от бактериальной инфекции, поддерживающая pH на нормальном уровне. Пациенты с признаками дегидратации должны принимать достаточное количество жидкости, поскольку обезвоживание приводит к уменьшению продукции слюны.
Ополаскиватели для полости рта
Существует огромное количество всевозможных ополаскивателей для борьбы с дурным запахом изо рта, однако достоверных данных об их эффективности нет. Однако лосьоны с диоксидом хлора зарекомендовали себя с хорошей стороны. Спиртосодержащие ополаскиватели не рекомендованы к использованию у детей, поскольку могут привести к уменьшению продукции слюны и тем самым только ухудшат ситуацию. Мятные пастилки и жевательные резинки способствуют выделению слюны и потому могут быть весьма полезны.
При наличии какого-либо серьезного заболевания, лежащего в основе галитоза, лечение должно быть направлено главным образом на коррекцию этого состояния.
«Мнимый» галитоз
Изредка встречаются люди, убежденные, что у них неприятно пахнет изо рта, без каких-либо на то оснований. Их убежденность граничит с бредом, а источник такого состояния обычно кроется в неуверенности в себе.
В отличие от большинства страдающих галитозом, подчас не подозревающих о недуге, такие люди регулярно посещают своего врача в надежде на чудесное излечение.
Тело человека. Снаружи и внутри. №45 2009









